Difference between MRCOG/ MRCPI/ SMLE
Comparison: MRCOG vs MRCPI vs SMLE (OBGYN Focus) MRCOG (UK) Best for: International practice & career advancement in
MRCOG Preparation Roadmap: Study Plan & Exam Tips
How to Prepare for the MRCOG Exams: A Complete Roadmap The MRCOG exam is one of the most
RCOG Guidelines Matter for Exam Prep
🔑 Why Are They So Important? The MRCOG exams are designed to test not only your knowledge but
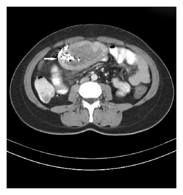
Gossypiboma and its Implications
1. Gossypiboma and its Implications Definition & Nomenclature Gossypiboma (also called textiloma) refers to a retained surgical sponge,
Management of HSV (genital herpes)
Management of HSV (genital herpes) in pregnancy & neonate Overview & Scope Genital herpes in pregnancy is important
IUGR / SGA
11. The Investigation and Management of the Small-for-Gestational-Age Fetus and a Growth-Restricted Fetus (RCOG Guideline Summary) Overview &
Prevention & Management of Postpartum Hemorrhage (PPH)
Prevention & Management of Postpartum Haemorrhage (PPH) (Guidelines Summary) Overview & Scope The guideline addresses primary (early) PPH
Diabetes in Pregnancy
9. Diabetes in Pregnancy – NICE Guideline Summary 1. Preconception Care Offer preconception counselling for women with diabetes.
Hypertension in Pregnancy
🩺Hypertension in Pregnancy: Diagnosis and Management – NICE Guideline Summary Overview Hypertensive disorders are among the most common
CONTRACEPTION
6. CONTRACEPTION: COMPREHENSIVE GUIDELINES Core Principles & CounsellingThe cornerstone of RCOG guidance is informed patient choice. Always advocate
